微发现之保卫细胞
微发现之保卫细胞

1000X显微观察

700X显微观察

500X显微观察

300X显微观察

200X显微观察

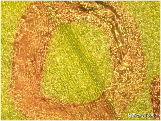
150X显微观察

100X显微观察

50X显微观察

实物图

保护细胞&气孔
保卫细胞:半月形,成对存在.内含叶绿体.细胞壁一面厚一面薄.凸面壁薄而有弹性,近气孔侧的凹面壁厚而少弹性.细胞膨胀时,壁薄处向外伸张,在张力作用下,两个细胞之间出现裂口即气孔张开.反之则气孔闭合.
气孔:由一对半月形保卫细胞围城的空腔,存在于叶子的上下表皮,但是下表皮密度高于上表皮.气孔是植物体蒸腾失水的门户,也是植物体与外界进行O2,CO2等气体交换的窗口.气孔的开放和闭合由保卫细胞控制,保卫细胞吸水后气孔张开. 保卫细胞失水后气孔闭合
-
- 升国旗,奏国歌
-
2025-10-27 09:56:38
-
- 向太对儿子向佐宠爱有加,对向佑却只字不提
-
2025-10-27 09:54:24
-
- 樱花大战|真宫寺樱|趁着红唇尚未褪色之际,恋爱吧,少女!
-
2025-10-27 09:52:10
-
- 伊犁城市
-
2025-10-27 09:49:55
-
- 封神累计票房破15亿!殷郊三头六臂法相曝光,他封了什么神?
-
2025-10-27 09:47:41
-
- 广东河源发生4.3级地震 余震不断 ,多地震感强烈
-
2025-10-27 09:45:27
-
- 三星堆遗址在哪里?
-
2025-10-27 09:43:12
-
- 豆瓣八卦来了小黄鸭是谁 抢沙发的小程序
-
2025-10-27 09:40:58
-
- 熏鱼是什么东西?熏鱼的做法
-
2025-10-25 21:50:19
-
- 最简单方便的酥肉扣碗做法,学会了在家轻松搞定
-
2025-10-25 21:48:05
-
- 落地超50万!HONDA摩托的旗舰,1.8引擎+豪华配置,这就是金翼
-
2025-10-25 21:45:50
-
- 火影忍者,鸣人唯一弟子,木叶丸实力如何?
-
2025-10-25 21:43:36
-
- 中国富豪榜前十排名榜
-
2025-10-25 21:41:22
-
- 蜡笔小新5岁死了?网友编造的真实故事着实感人
-
2025-10-25 21:39:08
-
- DNF:用数据简单说明卢克raid附魔单属、双属以及全属性的差距
-
2025-10-25 21:36:53
-
- 盘点《庆余年》四大女主
-
2025-10-25 21:34:39
-
- LOL限定皮肤第七弹:德玛西亚之力 铁铠冥魂 暮光之眼 酒桶
-
2025-10-25 21:32:25
-
- 盘点娱乐圈的污妖王!好羞耻!
-
2025-10-25 21:30:11
-
- 嗨氏得罪了张大仙,得罪了楚河,得罪了陈子豪,却不敢得罪他
-
2025-10-25 21:27:57
-
- 自古评论出人才!“海豚音王子”维塔斯被拘留,评论区又现神回复
-
2025-10-25 21:25:42



央视最火外籍女星金小鱼,爱上中国小伙竟被抛弃,她现在怎么样了
通州太玉园,北京最大的小产权小区之一,有望“转正”吗?